矯正治療
審美治療

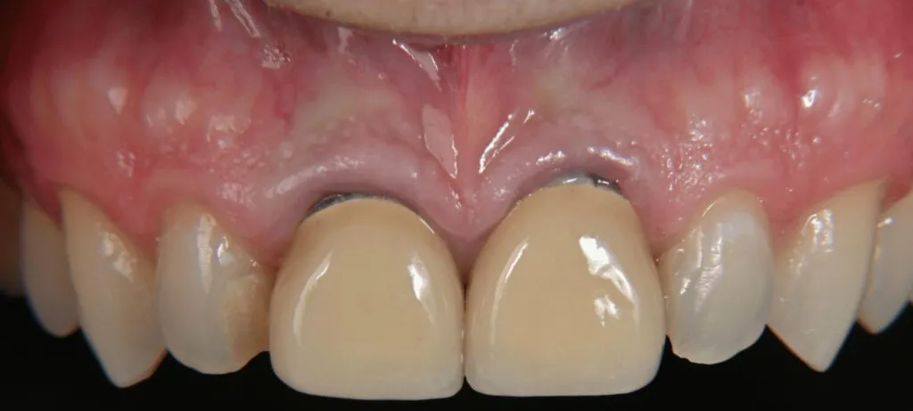
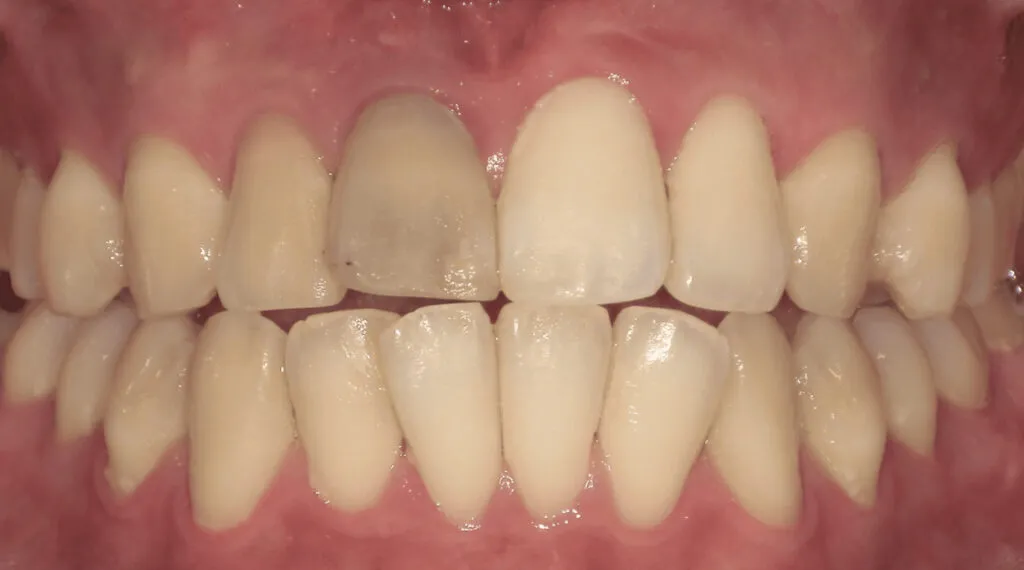
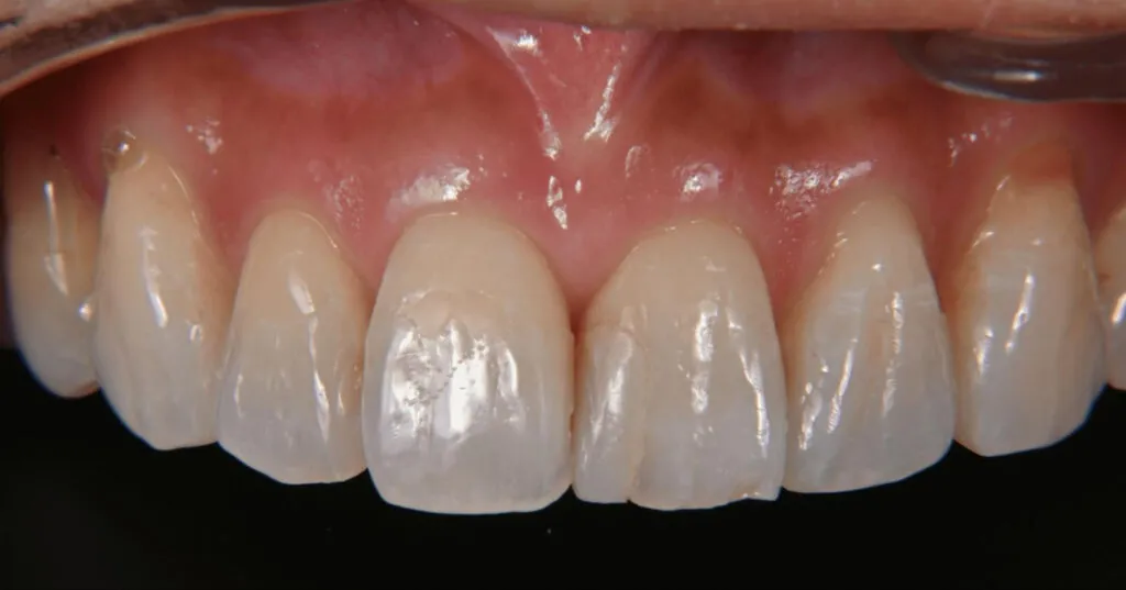
- 治療前

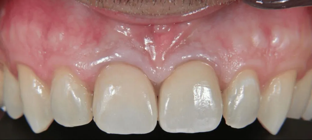
- 治療後
| 主訴 | 前歯のかぶせのやりかえ |
|---|---|
| 治療方法 | キャラクタライズドクラウン |
| 患者さんの年齢と性別 | 40代、男性 |
| 通院期間、治療回数 | 3ヶ月、6回 |
| リスク | 経年劣化により破損や摩耗が起こる可能性がある |
| 金額 | 330,000円(税込) |

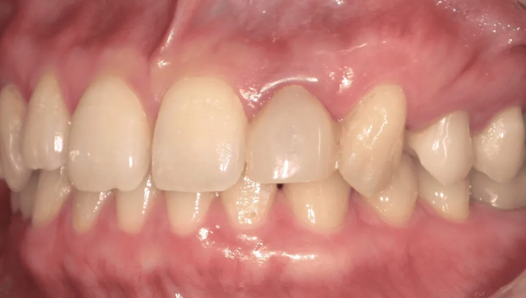
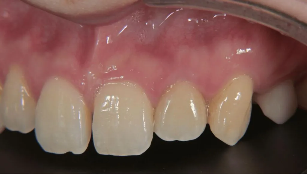
- 治療前

- 治療後
| 主訴 | 前歯の仮歯の治療 |
|---|---|
| 治療方法 | キャラクタライズドクラウン |
| 患者さんの年齢と性別 | 20代、女性 |
| 通院期間、治療回数 | 2ヶ月、5回 |
| リスク | 経年劣化により破損や摩耗が起こる可能性がある |
| 金額 | 165,000円 |

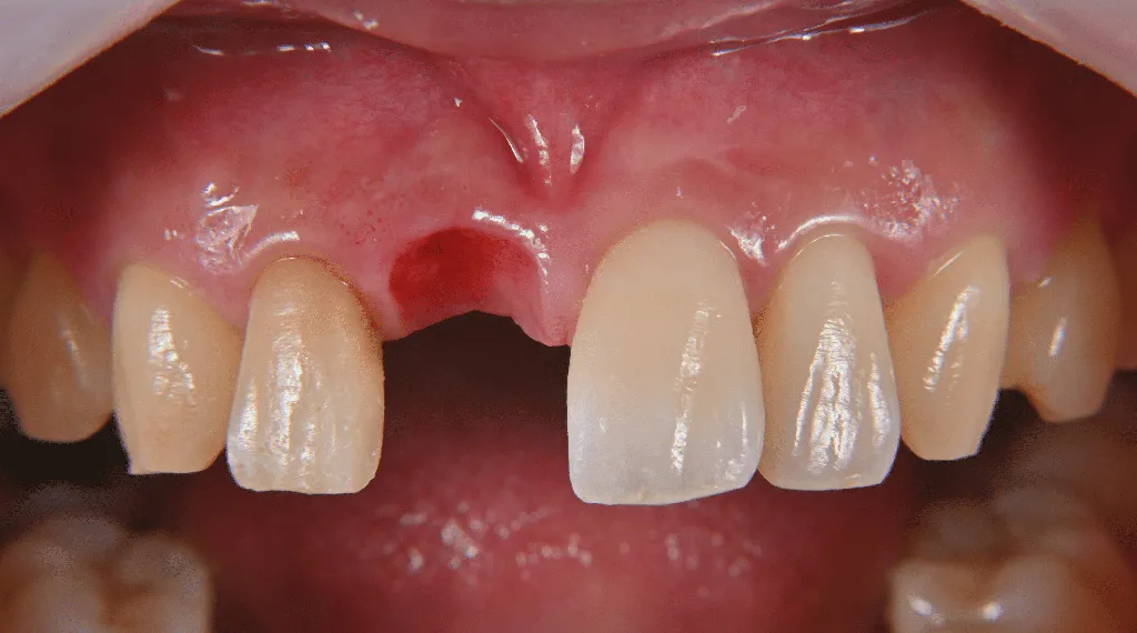
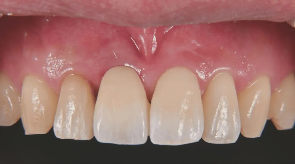
- 治療前

- 治療中

- 治療後
| 主訴 | 前歯の抜歯後の治療相談 |
|---|---|
| 治療方法 | 歯槽堤保存術、ジルコニア接着ブリッジ |
| 患者さんの年齢と性別 | 30代、男性 |
| 通院期間、治療回数 | 5ヶ月、6回 |
| 抜歯 | 右上中切歯(右上1) |
| リスク | 経年劣化により破損や摩耗が起こる可能性がある |
| 金額 | 319,000円 |

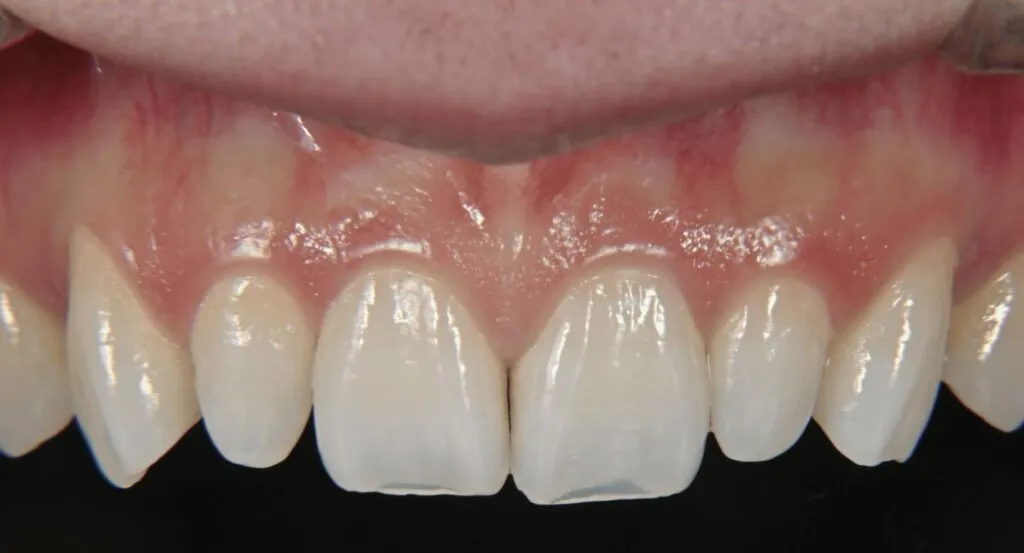
- 治療前

- 治療後
| 主訴 | 前歯の形が気になる |
|---|---|
| 治療方法 | ラミネートベニア |
| 患者さんの年齢と性別 | 20代、女性 |
| 通院期間、治療回数 | 2ヶ月、4回 |
| リスク | 経年劣化により破損や摩耗が起こる可能性がある |
| 金額 | 330,000円 |

- 治療前

- 治療後
| 主訴 | 前歯のつめもののやりかえ |
|---|---|
| 治療方法 | ダイレクトボンディング |
| 患者さんの年齢と性別 | 40代、女性 |
| 通院期間、治療回数 | 1ヶ月、2回 |
| リスク | 経年劣化により破損や摩耗が起こる可能性がある |
| 金額 | 55,000円 |
